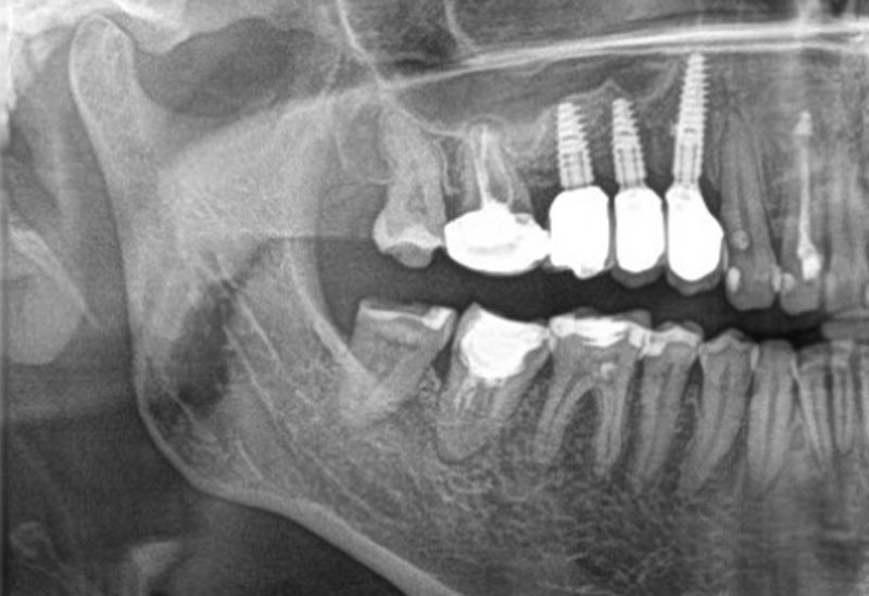
Samodzielna korona nie obciążająca zębów sąsiednich - to dzisiaj możliwe.
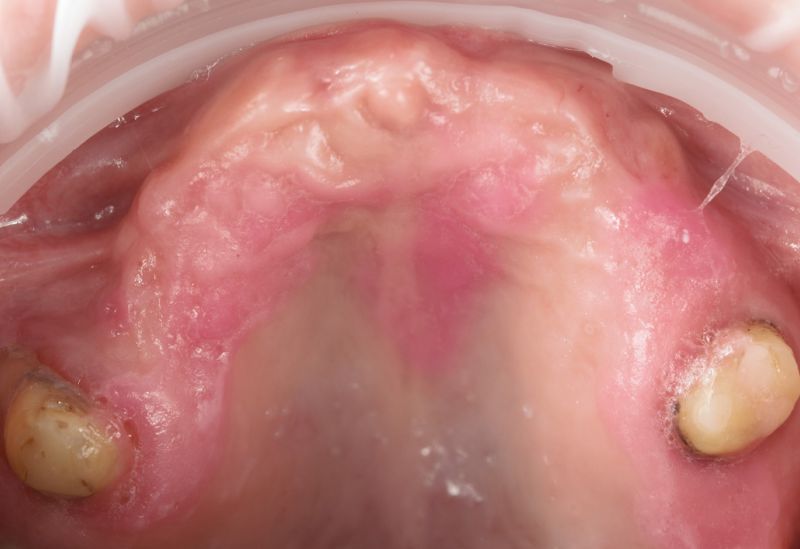
+ brak konieczności szlifowania zębów
+ brak zalegania resztek pokarmowych pod mostem
Wszczepienie implantu na ogół jest zabiegiem bezbolesnym i nie wymagającym dłuższej rekonwalescencji.
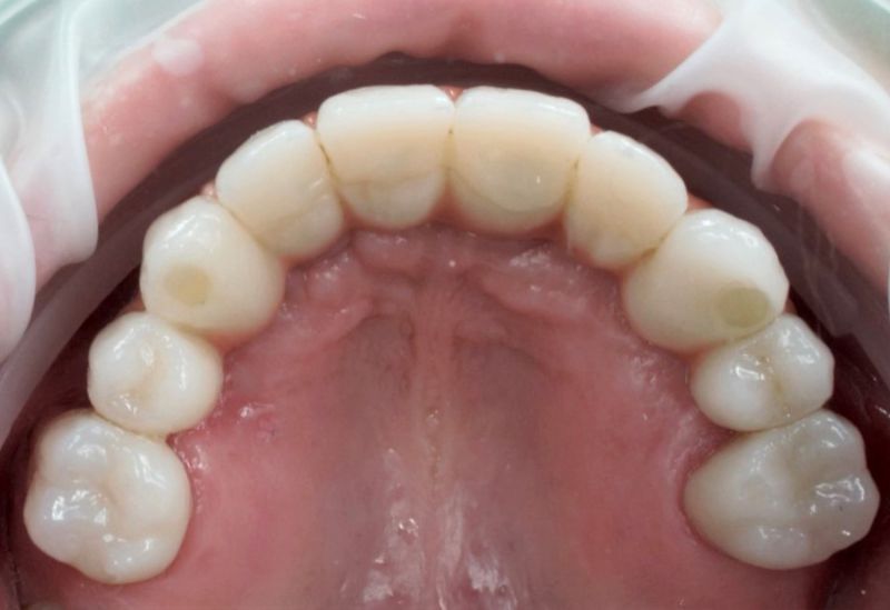
+ brak konieczności szlifowania zębów
+ brak zalegania resztek pokarmowych pod mostem
Wszczepienie implantu na ogół jest zabiegiem bezbolesnym i nie wymagającym dłuższej rekonwalescencji.

































