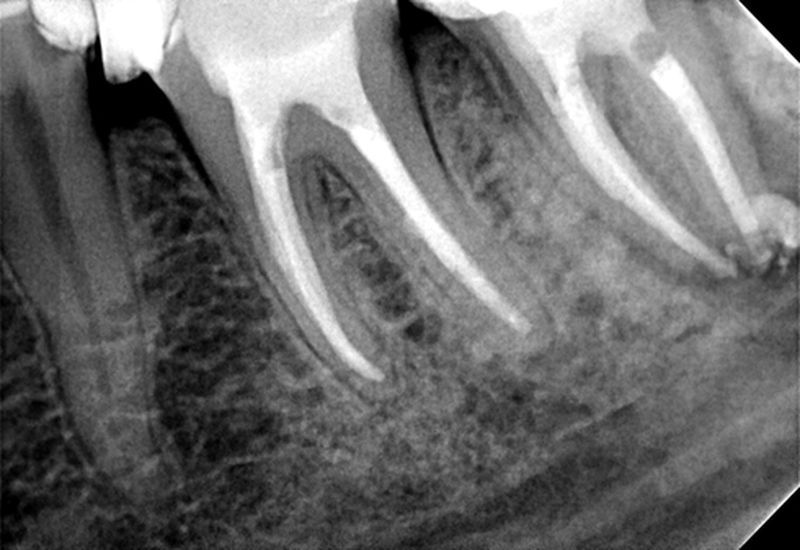
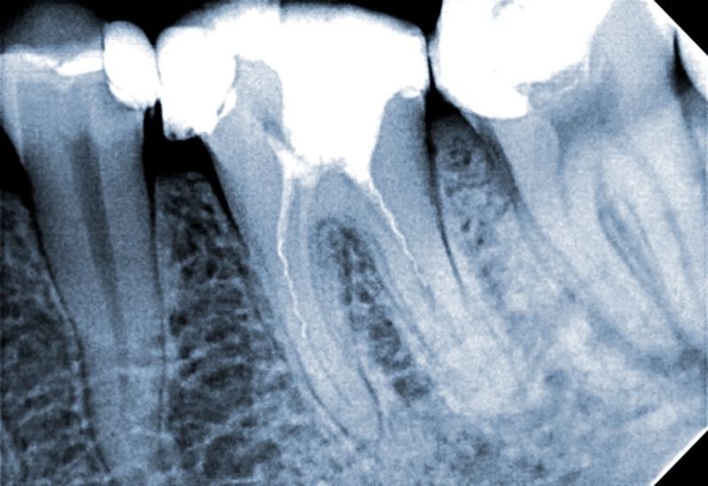
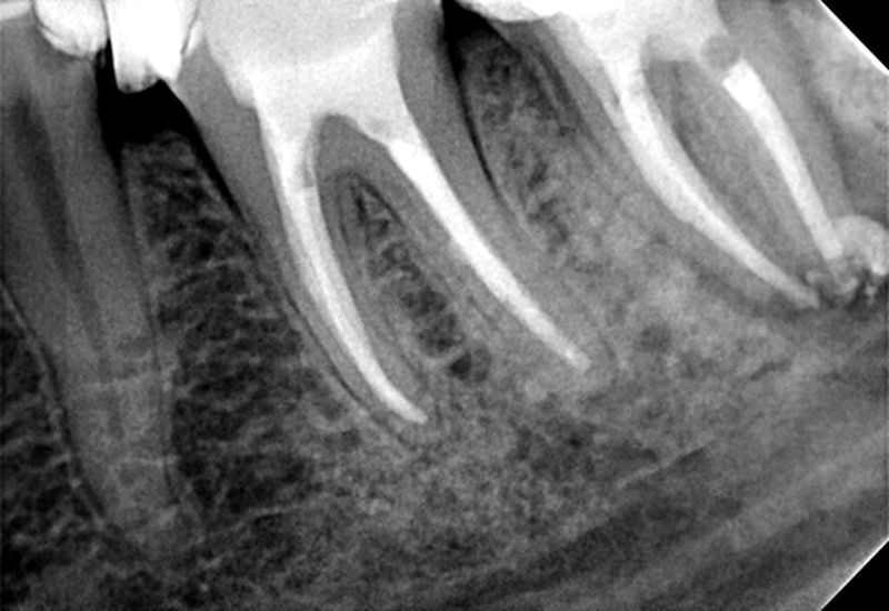
Stan przed i po leczeniu powtórnym kanałowym zęba. Dzięki wykorzystaniu mikroskopu stomatologicznego usunięto złamane narzędzie, udrożniono oraz wypełniono kanały korzeniowe zęba.
Wygodne i bezpieczne leczenie
Leczenie "kanałowe" jest prowadzone w znieczuleniu miejscowym i w większości przypadków zupełnie niebolesne. Leczony ząb odizolowany jest od reszty jamy ustnej specjalną osłoną co zwiększa komfort pacjenta i minimalizuje ryzyko komplikacji.
Dlaczego prawidłowe
leczenie jest tak istotne?
Prawidłowo przeprowadzone leczenie kanałowe jest niezwykle istotne dla zachowania zęba na długie lata. Polega ono na dokładnym usunięciu miazgi zębowej, zdezynfekowaniu kanału/kanałów specjalnie przeznaczonymi do tego płynami oraz późniejszym wypełnieniu go/ich ćwiekiem gutaperkowym z uszczelniaczem endodontycznym. Przybliżenie jakie daje mikroskop endodontyczny pozwala na pełną precyzję podczas leczenia. Dzięki temu szansa na powodzenie leczenia i utrzymanie zęba w okresie długoterminowym znacznie wzrasta.
Wiedza i innowacyjne
leczenie bio-zgodne
Dr. n. med. Michał Kubiszyn jest autorem badań i artykułów w czasopismach naukowych. Dodatkowo tytuł doktora nauk medycznych uzyskał na podstawie przeprowadzenia badań porównawczych różnych technik wypełniania kanałów korzeniowych w leczeniu endodontycznym zębów. Najnowsza wiedza naukowa pozwala na uzyskiwanie coraz lepszych wyników leczenia.
Powiększenie i bezpieczeństwo
Kiedy widzimy lepiej, lepiej pracujemy. Zastosowanie mikroskopów optycznych pozwala na większą efektywność leczenia. W naszej klinice stosujemy najlepszej jakości urządzenia, aby zapewnić większe bezpieczeństwo i umożliwić przeprowadzanie skomplikowanych zabiegów.
Stan po wypełnieniu ostatecznym kanałów korzeniowych poszczególnych zębów.
Doświadczenie i precyzja
Członkowie zespołu Clinica al Denti przeprowadzili dotychczas:
- ponad 1400 przypadków leczenia endodontycznego zębów
- ponad 120 zabiegów usunięcia narzędzia z kanału lub zamknięcia perforacji
Dzięki doświadczeniu i precyzji liczba powikłań w naszej praktyce jest znacząco mniejsza niż średnia liczba powikłań podawana w literaturze specjalistycznej.
- ponad 1400 przypadków leczenia endodontycznego zębów
- ponad 120 zabiegów usunięcia narzędzia z kanału lub zamknięcia perforacji
Dzięki doświadczeniu i precyzji liczba powikłań w naszej praktyce jest znacząco mniejsza niż średnia liczba powikłań podawana w literaturze specjalistycznej.
Adres
Michał Kubiszyn Stomatologia i Implantologia
ul. Piłsudskiego 83,
21-560 Międzyrzec Podlaski
NIP: 5372641235
Regon: 369533911
© 2025 Clinica al Denti Stomatologia i Implantologia Michał Kubiszyn







