Od czego zacząć?
Często aby rozpocząć proces leczenia wystarczy jedna wizyta w celu wykonania indywidualnych pomiarów i zdjęć fotograficznych. Kształt twoich zębów jest następnie projektowany w laboratorium. Druga wizyta to "przymiarka uśmiechu" czyli bezinwazyjne, próbne przeniesienie kształtu odbudowanych zębów do jamy ustnej. Dzięki tej wizycie możesz zobaczyć jak będzie wyglądał twój uśmiech i omówić z lekarzem potrzebę ewentualnych korekt.
Nowoczesne odbudowy
bezinwazyjne
Odbudowy bezinwazyjne to takie, które często nie wymagają nawet jednego dotknięcia zęba wiertłem. Nowoczesne materiały wykazują większą trwałość i lepsze połączenie z powierzchnią zęba bez konieczności oszlifowania go. Dzięki rozwojowi naszego zespołu wprowadziliśmy techniki bezinwazyjne jako jedni z pierwszych w Polsce.
Do odbudowy technikami bezinwazyjnymi kwalifikujemy przede wszystkim zęby, które są starte ale nie rozlegle uszkodzone. Nadmierne starcie dotyczy często zębów młodych pacjentów.
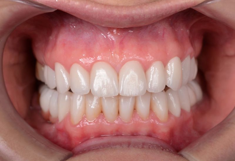
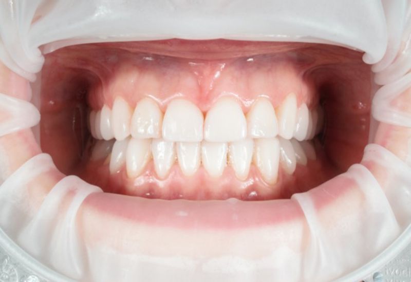
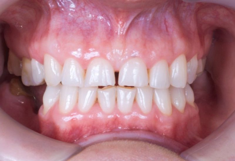
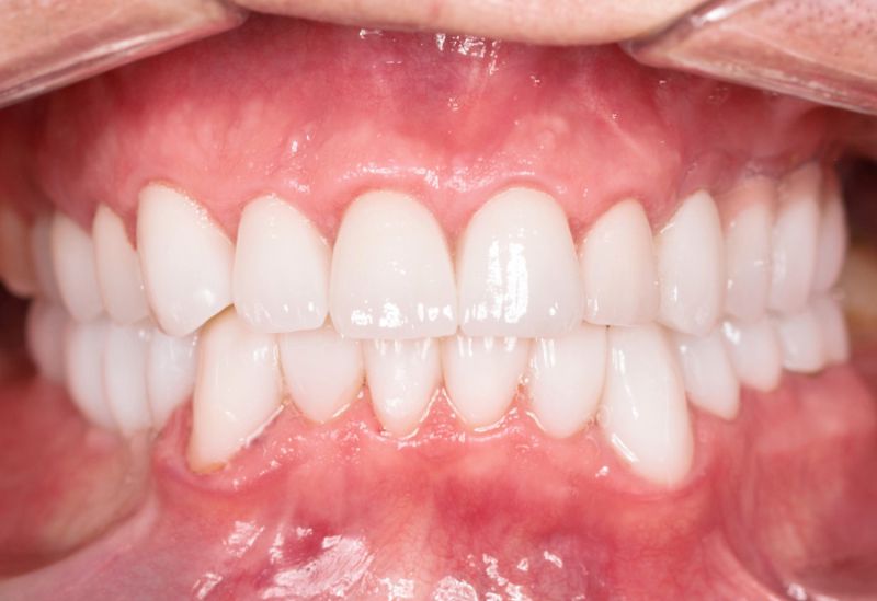
Przypadki pacjentów
Pani Katarzyna
Przedstawiamy Państwu metamorfozę naszej Pacjentki. Zależało nam, aby oprócz funkcjonalności zgryzu uzyskać jak najlepszy efekt estetyczny. W tym celu zostało wykorzystanych kilka metod, a mianowicie korony cyrkonowe na zęby własne Pacjentki, licówki pełnoceramiczne, korony na implancie oraz odbudowa zębów metodą flow-injection. Zastosowanie takich rozwiązań skutkuję efektem widocznym na zdjęciach poniżej, a nasza Pacjentka może cieszyć się nowym, pięknym uśmiechem.
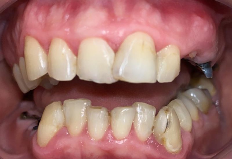
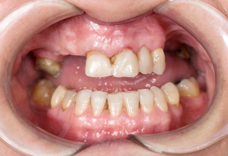
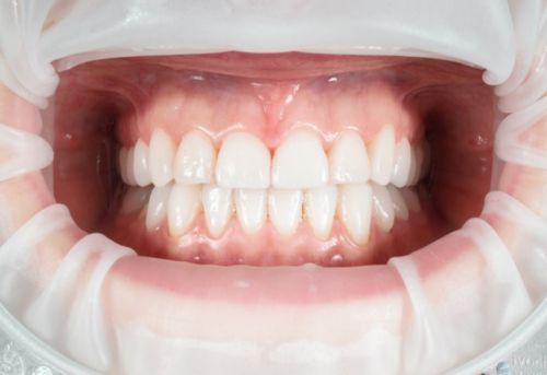
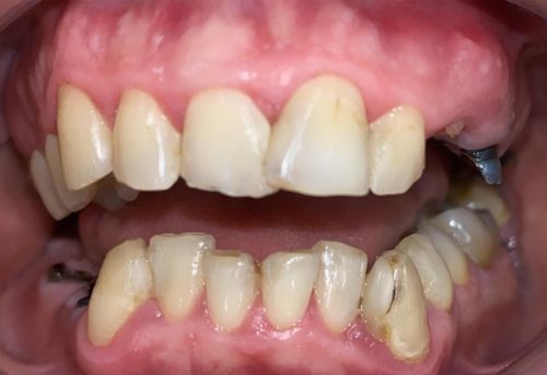
Pan Rafał
W Pana przypadku mieliśmy do czynienia z nadmiernie startymi zębami. Z powodu rozlegle zniszczonego uzębienia Pacjenta, należało przeprowadzić kompleksowe leczenie, które pozwoliło na przywrócenie estetyki uśmiechu, a także funkcjonalności zgryzu. U Pana konieczne było wszczepienie 4 implantów, na których w dalszej kolejności zostały wykonane korony porcelanowe oraz most. Starte zęby nadbudowane zostały natomiast metodą flow-injection.
Pan Jacek
U naszego kolejnego Pacjenta górne jedynki, a także pierwszy przedtrzonowiec szczęki po stronie prawej odbudowane zostały poprzez korony na implantach. Na pozostałe zęby do drugich przedtrzonowców włącznie w łuku górnym, wykonane zostały korony pełnoceramiczne. W przypadku zębów dolnych część z nich nadbudowana była metodą flow-injection, a na część założone zostały korony pełnoceramiczne.
Pan Krzysztof
W Pana przypadku w miejscach braków zębów zastosowaliśmy implanty tytanowe, które po upłynięciu odpowiedniej ilości czasu mogliśmy obciążyć koronami pełnoceramicznymi. Zęby przednie górne zostały oszlifowane, tak aby móc wykonać także na nie korony pełnoceramiczne. W przypadku zębów dolnych połączyliśmy dwie metody odbudowy zębów, a mianowicie zastosowaliśmy metodę flow-injection oraz wyżej wymieniane korony pełnoceramiczne.
Pani Agnieszka
Ze względu na liczne braki zębowe Pacjentka zdecydowała się na zabieg wszczepienia implantów. W Pani przypadku, w miejscach braków zębów górnych wszczepiliśmy 6 implantów, na których w późniejszym czasie zostały wykonane korony pełnoceramiczne. Wykonaliśmy także korony pełnoceramiczne na część zębów własnych Pacjentki, a także zastosowaliśmy technikę flow-injection.
Pan Piotr
W Pana przypadku należało uzupełnić braki oraz odbudować wszystkie zęby zarówno w szczęce górnej jak i dolnej. Wszczepienie dwóch implantów zębowych pozwoliło na uzupełnienie brakujących zębów, natomiast wykorzystanie koron pełnoceramicznych, a także zastosowanie metody flow-injection na odbudowę startych zębów własnych. Teraz Pacjent może cieszyć się nowym, pięknym uśmiechem.
Pani Agata
Starcie zębów powstałe w wyniku nieprawidłowego zgryzu. Zęby od kła do kła oraz drugie trzonowce odbudowane zostały metodą bezinwazyjną.
Precyzja
Niebieskie kropki na zębach powstały przez zagryzienie przez Pacjentkę kalki o grubości zaledwie 12 mikrometrów! Równomierne rozłożenie sił na wszystkich zębach jest niezwykle istotne. Wykonując odbudowy zębów naszych pacjentów zawsze staramy się wykazać najwyższą dbałością o szczegóły co przekłada się na trwałość pracy.
Etapy leczenia
1º Projektowanie uśmiechu.
Dzięki wykonaniu serii pomiarów i zdjęć fotograficznych możliwe jest zaprojektowanie uśmiechu zgodnie z unikalnymi cechami każdej twarzy.
2º Przymiarka uśmiechu
Przeniesienie całego projektu próbnie do jamy ustnej pacjenta, pomaga sprostać jego oczekiwaniom i dokonać koniecznych korekt przed wykonaniem docelowej odbudowy.
3º Odbudowa zębów
Zespół Clinica al Denti jest przygotowany na Twoją wizytę, a leczenie jest koordynowane przez Twojego lekarza prowadzącego. Dzięki precyzyjnemu planowaniu kompleksowa odbudowa zębów wykonywana jest sprawnie i w maksymalnie krótkim czasie.
Trwałość i bezpieczeństwo
Każdemu z naszych pacjentów po odbudowie zębów wykonujemy specjalistyczną szynę relaksacyjną MAGO (ang. Maxillary Anterior Guided Orthotic). Szyna zakładana na noc chroni zęby przed starciem i złamaniem oraz relaksuje mięśnie żucia poprawiając jakość snu.
Jesteśmy z Tobą
Na zakończenie leczenia Twój lekarz prowadzący zaproponuje schemat wizyt kontrolnych z czego pierwsze dwie są zawsze bezpłatne. W razie problemów zawsze jesteśmy do Państwa dyspozycji.
Umów się na wizytę
Każdemu z naszych pacjentów po odbudowie zębów wykonujemy specjalistyczną szynę relaksacyjną MAGO (ang. Maxillary Anterior Guided Orthotic). Szyna zakładana na noc chroni zęby przed starciem i złamaniem oraz relaksuje mięśnie żucia poprawiając jakość snu.
Jesteśmy z Tobą
Na zakończenie leczenia Twój lekarz prowadzący zaproponuje schemat wizyt kontrolnych z czego pierwsze dwie są zawsze bezpłatne. W razie problemów zawsze jesteśmy do Państwa dyspozycji.
Umów się na wizytę
Adres
Michał Kubiszyn Stomatologia i Implantologia
ul. Piłsudskiego 83,
21-560 Międzyrzec Podlaski
NIP: 5372641235
Regon: 369533911
© 2025 Clinica al Denti Stomatologia i Implantologia Michał Kubiszyn

































