Periodontologia
Periodontologia to jedna z dziedzin stomatologii, zajmująca się profilaktyką, wykrywaniem oraz leczeniem chorób przyzębia. Choroby przyzębia to grupa chorób, która swoim zasięgiem obejmuje zespół tkanek otaczających szyjkę i korzeń zęba. Dzieli się je na zapalenia dziąseł oraz zapalenia przyzębia. Zapalenie dziąseł to najwcześniejszy i najłatwiejszy w leczeniu etap choroby przyzębia. Jeżeli zlekceważymy stan zapalny dziąseł, może przenieść się on na tkanki utrzymujące zęby i na kość. W efekcie tego dochodzi do cofania się dziąseł, odsłaniania szyjek i korzeni zębów, co w późniejszym czasie może skutkować ruszaniem, przemieszczaniem lub wypadnięciem zębów.
1º Diagnostyka
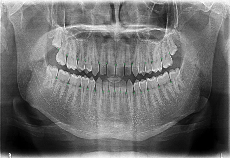
W pierwszej kolejności przeprowadzany jest wywiad oraz badanie, które pozwala na określenie stanu przyzębia i potrzeb leczniczych pacjenta. Lekarz wykonuje badanie przy użyciu specjalnej sondy, które pozwala określić stan przyzębia. Ocenia higienę jamy ustnej pacjenta, a także wykonuje odpowiednie zdjęcia radiologiczne, które umożliwiają pełne zobrazowanie problemu.
2º Leczenie
W leczeniu przyzębia wyróżniamy 3 fazy leczenia. A mianowicie:
- Fazę I, która dotyczy usunięcia przyczyny wywołującej stan zapalny czyli redukcji patogenów obecnych w jamie ustnej.
- Fazę II, do której zaliczamy zabiegi korekcyjne.
- Fazę III tzw. podtrzymującą, pozabiegową.
Faza I
To dokładny skaling nadziąsłowy i poddziąsłowy, wygładzenie powierzchni korzeni, który polega na usunięciu złogów nazębnych przy pomocy specjalnych urządzeń ultradźwiękowych. Zalicza się do niej także ekstrakcję zębów, które nie rokują długoczasowego utrzymania, a także likwidację ubytków próchnicowych oraz korekty poprzednio wykonanych wypełnień i prac protetycznych. Dodatkowo przeprowadzany jest instruktaż higieny jamy ustnej.
Faza II
Polega na przeprowadzaniu zabiegów chirurgicznych mających na celu zmianę morfologii tkanek - dziąseł i kości wyrostka zębodołowego przywracając ich formę fizjologiczną, regenerację przyzębia. Do fazy tej zalicza się także leczenie zgryzu i eliminację węzłów urazowych (przedwczesnych kontaktów zębowych), odbudowy protetyczne i wykonywanie szyn łączących zęby.
Faza III
Choroba przyzębia jest nieuleczalna, ale przy dobrej współpracy możemy skutecznie zahamować jej postęp. Okresowe kontrole mają zapewnić utrzymanie odpowiedniej higieny jamy ustnej oraz obniżenie do minimum wpływu czynników ryzyka na dalszy przebieg choroby.
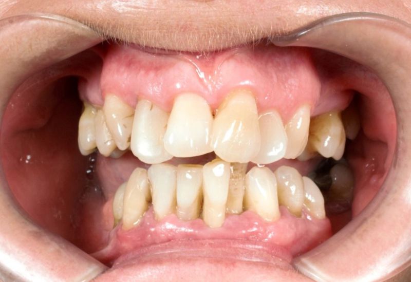
Zobacz przypadek naszej pacjentki
Choroba przyzębia, w wyniku zaniku kości doprowadza często do problemów estetycznych. Poniżej prezentujemy przykład kompleksowego leczenia naszej pacjentki, która zgosiła się z zaawansowaną chorobą przyzębia. Zastosowano zabiegi periodontologiczne mające na celu zatrzymanie progresji zaniku kości, a następnie wykonano odbudowy protetyczne w celu poprawy estetyki uśmiechu i uzupełnienia brakujących zębów.
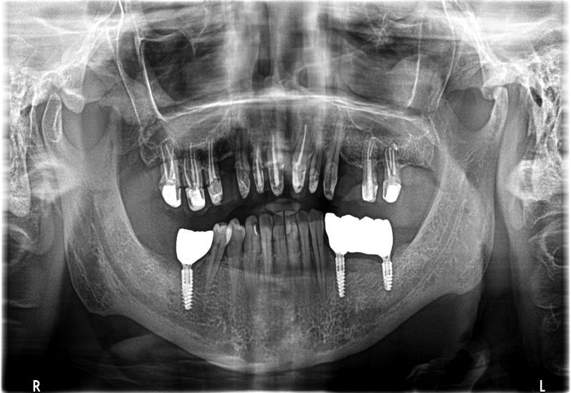
Inny przykład leczenia
Nieleczona choroba przyzębia może niestety prowadzić do utraty zębów. Clinica al Denti to zespół lekarzy zajmujących się wszystkimi dziedzinami stomatologii. Już po pierwszej wizycie jesteśmy w stanie zaproponować Państwu rozwiązanie umożliwiające odbudowę braków zębów nawet bardzo trudnych przypadkach, wymagających usunięcia zębów.
Adres
Michał Kubiszyn Stomatologia i Implantologia
ul. Piłsudskiego 83,
21-560 Międzyrzec Podlaski
NIP: 5372641235
Regon: 369533911
© 2025 Clinica al Denti Stomatologia i Implantologia Michał Kubiszyn

















