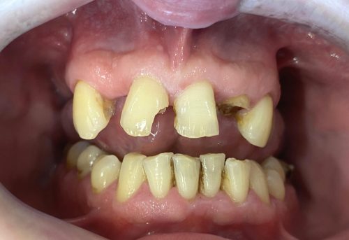
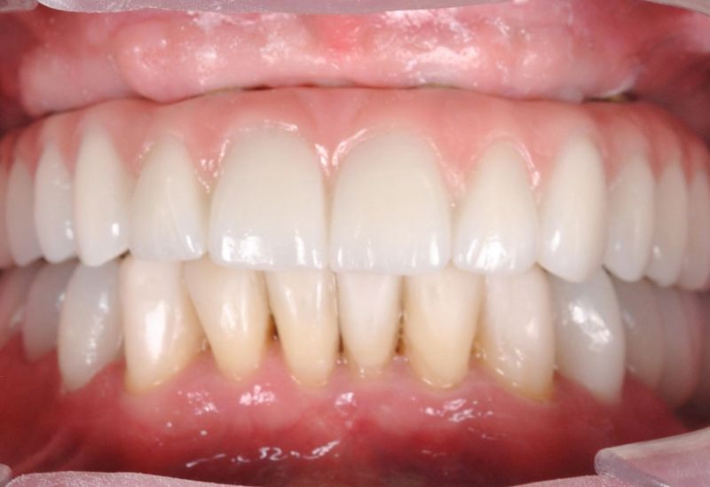
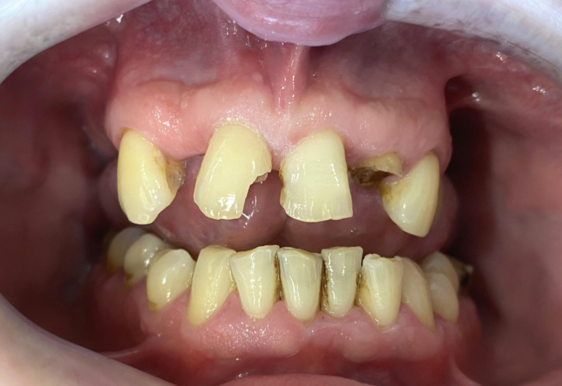
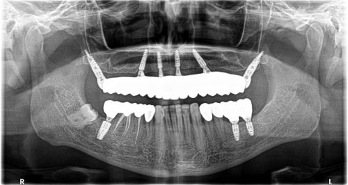
Pan Łukasz
Wykonana praca protetyczna:
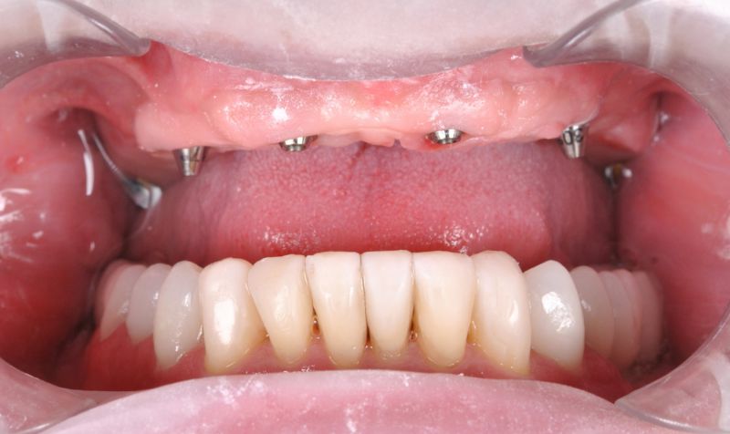
- most pełnołukowy na sześciu implantach
- korony na zęby własne w łuku dolnym
- korony na implantach w miejscach braków zębów
- odbudowa flow-injection zębów dolnych przednich
Praca wykonana przez: dr n. med. Michała Kubiszyna
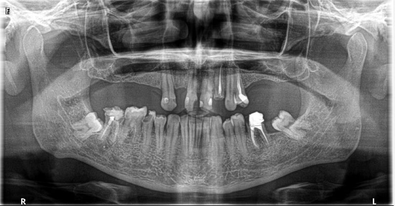
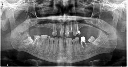
Leczenie zachowawcze i endodontyczne: lek. dent. Paweł Kruk
Leczenie periodontologiczne: hig Emilia Łosicka
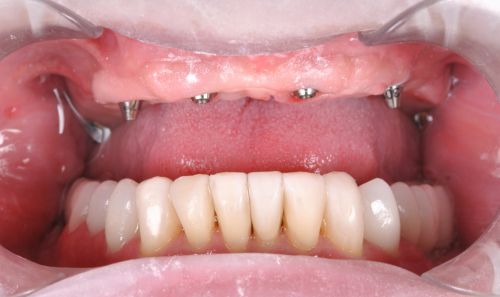
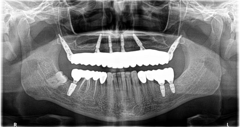
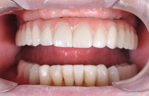
- most pełnołukowy na sześciu implantach
- korony na zęby własne w łuku dolnym
- korony na implantach w miejscach braków zębów
- odbudowa flow-injection zębów dolnych przednich
Praca wykonana przez: dr n. med. Michała Kubiszyna
Leczenie zachowawcze i endodontyczne: lek. dent. Paweł Kruk
Leczenie periodontologiczne: hig Emilia Łosicka
Adres
Michał Kubiszyn Stomatologia i Implantologia
ul. Piłsudskiego 83,
21-560 Międzyrzec Podlaski
NIP: 5372641235
Regon: 369533911
© 2025 Clinica al Denti Stomatologia i Implantologia Michał Kubiszyn








