Pani Anna
Wykonana praca protetyczna:
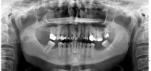
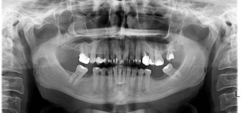
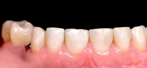
- licówki pełnoceramiczne w odcinku przednim zębów górnych
- korony pełnoceramiczne na zęby własne zarówno w łuku dolnym i górnym
- korony na implantach braków zębów
Praca wykonana przez: dr n. med. Michała Kubiszyna
Leczenie zachowawcze i periodontologiczne: Anna Andrzejewicz-Melaniuk, hig Emilia Łosicka
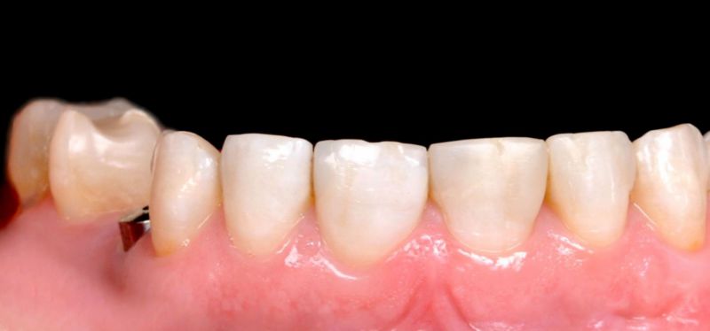
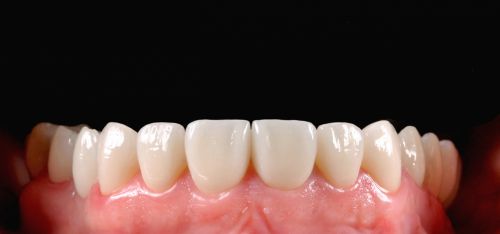
- licówki pełnoceramiczne w odcinku przednim zębów górnych
- korony pełnoceramiczne na zęby własne zarówno w łuku dolnym i górnym
- korony na implantach braków zębów
Praca wykonana przez: dr n. med. Michała Kubiszyna
Leczenie zachowawcze i periodontologiczne: Anna Andrzejewicz-Melaniuk, hig Emilia Łosicka
Adres
Michał Kubiszyn Stomatologia i Implantologia
ul. Piłsudskiego 83,
21-560 Międzyrzec Podlaski
NIP: 5372641235
Regon: 369533911
© 2025 Clinica al Denti Stomatologia i Implantologia Michał Kubiszyn






