Pani Danuta
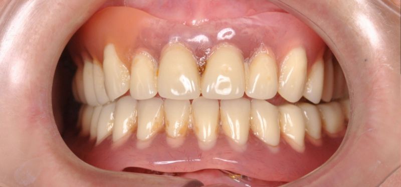
Wykonana praca protetyczna:
- protezy ruchome górna i dolna.
Praca wykonana przez: dr n. med. Michała Kubiszyna
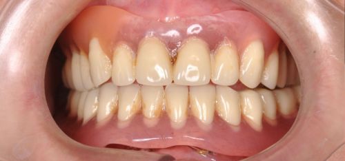
- protezy ruchome górna i dolna.
Praca wykonana przez: dr n. med. Michała Kubiszyna
Adres
Michał Kubiszyn Stomatologia i Implantologia
ul. Piłsudskiego 83,
21-560 Międzyrzec Podlaski
NIP: 5372641235
Regon: 369533911
© 2025 Clinica al Denti Stomatologia i Implantologia Michał Kubiszyn




