Pani Katarzyna
Wykonana praca protetyczna:
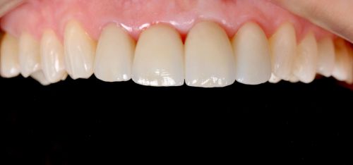
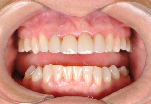
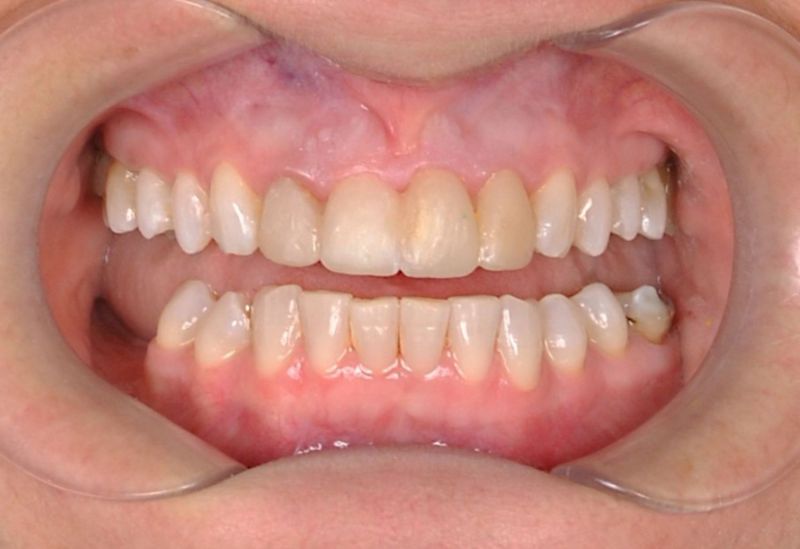
- licówki pełnoceramiczne na górnych jedynkach
- korony pełnoceramiczne na górnych dwójkach
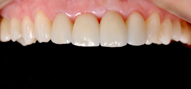
- licówki pełnoceramiczne na górnych jedynkach
- korony pełnoceramiczne na górnych dwójkach
Praca wykonana przez: dr n. med. Michała Kubiszyna
Leczenie zachowawcze i endodontyczne: lek. dent. Paweł Kruk, lek. dent. Anna Andrzejewicz-Melaniuk
Leczenie zachowawcze i endodontyczne: lek. dent. Paweł Kruk, lek. dent. Anna Andrzejewicz-Melaniuk
Adres
Michał Kubiszyn Stomatologia i Implantologia
ul. Piłsudskiego 83,
21-560 Międzyrzec Podlaski
NIP: 5372641235
Regon: 369533911
© 2025 Clinica al Denti Stomatologia i Implantologia Michał Kubiszyn




