Pani Maria
Wykonana praca protetyczna:
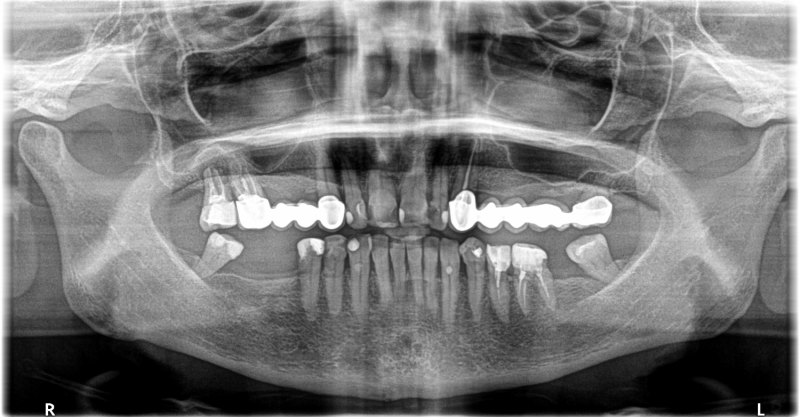
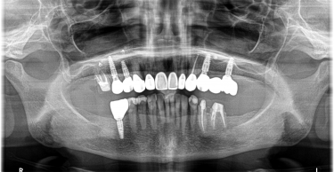
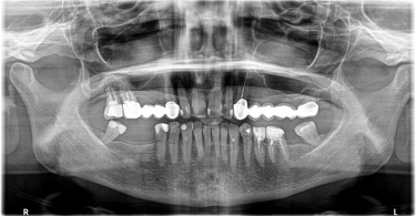
- licówki pełnoceramiczne na zębach górnych przednich
- korony pełnoceramiczne na zębach własnych w łuku górnym i dolnym
- korony na implanatch
Praca wykonana przez: dr n. med. Michała Kubiszyna
Leczenia zachowawcze i endodontyczne: lek. dent. Anna Andrzejewicz-Melaniuk
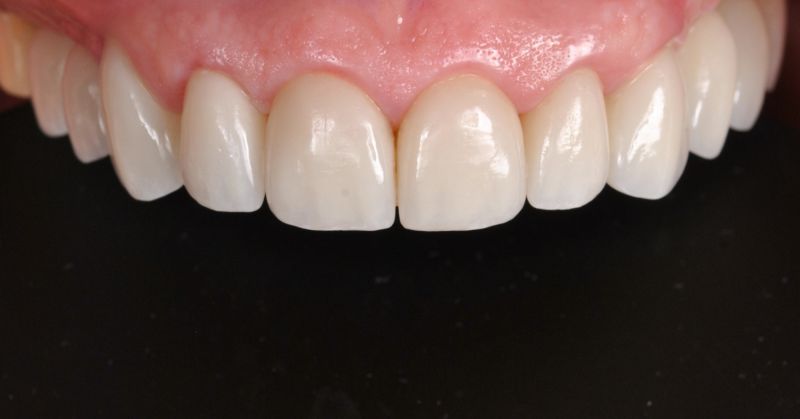
- licówki pełnoceramiczne na zębach górnych przednich
- korony pełnoceramiczne na zębach własnych w łuku górnym i dolnym
- korony na implanatch
Praca wykonana przez: dr n. med. Michała Kubiszyna
Leczenia zachowawcze i endodontyczne: lek. dent. Anna Andrzejewicz-Melaniuk
Adres
Michał Kubiszyn Stomatologia i Implantologia
ul. Piłsudskiego 83,
21-560 Międzyrzec Podlaski
NIP: 5372641235
Regon: 369533911
© 2025 Clinica al Denti Stomatologia i Implantologia Michał Kubiszyn






