Pani Teresa
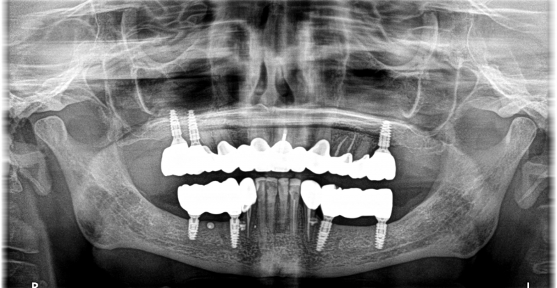
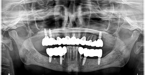
Wykonana praca protetyczna:
- korony pełnoceramiczne na zębach własnych górnych
- korony na implantach w miejscach braków zębów górnych
- mosty na implanatch w łuku dolnym
- odbudowa flow-injection zębów dolnych przednich
Praca wykonana przez: dr n. med. Michała Kubiszyna, lek. dent. Annę Andrzejewicz-Melaniuk
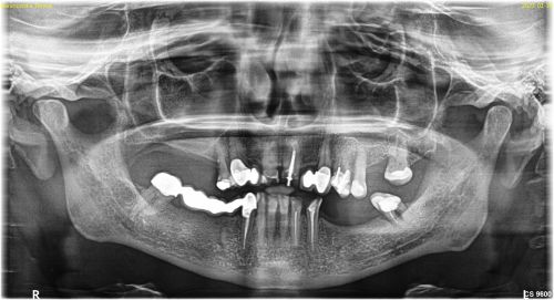
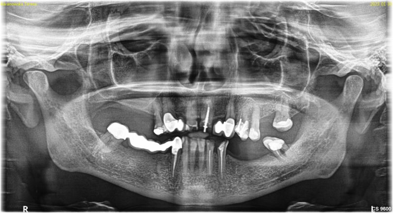
Leczenie zachowawcze i endodontyczne: Lek. dent. Anna Andrzejewicz-Melaniuk
- korony pełnoceramiczne na zębach własnych górnych
- korony na implantach w miejscach braków zębów górnych
- mosty na implanatch w łuku dolnym
- odbudowa flow-injection zębów dolnych przednich
Praca wykonana przez: dr n. med. Michała Kubiszyna, lek. dent. Annę Andrzejewicz-Melaniuk
Leczenie zachowawcze i endodontyczne: Lek. dent. Anna Andrzejewicz-Melaniuk
Adres
Michał Kubiszyn Stomatologia i Implantologia
ul. Piłsudskiego 83,
21-560 Międzyrzec Podlaski
NIP: 5372641235
Regon: 369533911
© 2025 Clinica al Denti Stomatologia i Implantologia Michał Kubiszyn






